El bulldog inglés es muy buena raza para vivir en familia y como cualquier otra clase de perros debe recibir una serie de cuidados que no hagan peligrar su salud ni su carácter estable.
Una de las cosas que se debe observar es su mandíbula, que no debe tener prognatismo muy acentuado (mandíbula inferior sobresaliente), puesto que le puede producir excesivo babeo.
La estructura de su nariz es complicada por lo que puede tener problemas de respiración, sobre todo en verano cuando el calor es sofocante. Evitaremos por todos los medios sacarlo a pasear en horas de excesivo calor y lo situaremos en un lugar fresco, podría causar la muerte a nuestro Bulldog. Esto es muy importante aunque aparentemente no lo parezca, el bulldog es muy delicado en este aspecto y padece de sofocos irreversibles.
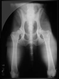
Otro detalle a considerar es la malformación de la cadera llamada Displasia. Por eso recomendamos adquirir un bulldog a criadores de esta raza, que se preocupan por dichas enfermedades que la mayoría son de origen genético. Con lo cual si se estudia el pedigree del perro con detención a la hora de cruce de líneas, es ciertamente seguro que se disminuye el riesgo de que los cachorros padezcan dicha malformación.
¿Que conocemos acerca de la displasia?
La displasia de cadera es una enfermedad biomecánica que se caracteriza por una incongruencia articular progresiva, provocada a partir de una laxitud articular y que finaliza en una enfermedad degenerativa articular (EDA).
La displasia coxofemoral (DCF) no es una enfermedad congénita, ya que las caderas son normales al nacimiento. La afección aparece a partir de un conjunto de factores ambientales Desde el punto de vista anatómico, la cadera es una articulación esferoide, formada por una cabeza redonda y una cavidad cotilo idea (el acetábulo), que ajustan perfectamente entre sí.
Actúan sobre una base genética múltiple, de alta heredabilidad (oscila entre 0,2 y 0,6 según la raza) que determina un retraso en la maduración de las estructuras de soporte articular que lleva, en mayor o menor medida, a la aparición de laxitud, primer paso hacia la incongruencia articular.
Tratamiento
Todos los tratamientos intentan mejorar la calidad de vida del las mascotas.
Debo enfatizar que siendo una enfermedad grave funcional no es grave vital, en otras palabras el paciente sufrirá de una disfunción en la locomoción pero no compromete su vida.
Un animal enfermo de displasia puede vivir toda su vida con esta enfermedad y llevar una vida placentera. La displasia es una entidad controlable pero no curable.
Los tratamientos tienen por objetivo:
Inhibición de la inflamación
Alivio del dolor
Regeneración de las superficies articulares
Reparación del cartílago
Recuperación de la función articular
Métodos
Conservadores - no invasivos
Corticoides
Antiinflamatorios no esteroideos
Condroprotectores
Regeneradores del cartílago
Quirúrgicos
Sección del músculo pectíneo
Plástica del techo del acetábulo
Osteotomías
Prótesis total de la articulación
Resección de la cabeza del fémur
Así como es muy importante que el diagnóstico sea realizado correctamente, es importante su precocidad, a fin de implementar el tratamiento correcto, reparador o preventivo de situaciones de mayor gravedad.
PROBLEMAS DE PIEL
La piel del bulldog también es delicada con lo cual evitaremos el baño excesivo y utilizaremos jabón neutro par su aseo cotidiano.
Siempre que se bañe se deberá secar cada pliegue de su piel como lo hemos explicado en el apartado de Cuidados higiénicos del bulldog. Evitaremos de esta manera que produzca hongos o pueda tener herpes cutáneos.
Bajo todo ese pelo, está la piel, que es susceptible a un gran número de enfermedades y afecciones, al igual que la de los humanos. La diferencia es que los humanos podemos detectar rápidamente un problema de salud en nuestra piel. En un perro, los problemas de la piel no son aparentes hasta que el perro nos da alguna indicación. Normalmente estas indicaciones son lamido o rascado excesivos. Por lo general, los humanos cuidamos de nuestra piel. Si vamos a tomar sol, nos ponemos pantallas solares. Si tenemos piel seca, usamos loción. Y ocasionalmente, cuando notamos alguna formación irregular en nuestra piel, acudimos al médico.
Tendemos a pensar que la piel es un "molde" para nuestro cuerpo. La piel va más allá de ser un molde, es un órgano en sí mismo.
Este órgano regula el calor, y en los perros trabaja en conjunto con las almohadillas de sus pies para permitir al perro que transpire.
Al igual que con los humanos, la piel comunica sensaciones tales como dolor, calor, frío, y tacto al cerebro. En los animales la piel también procesa vitamina D, al igual que nosotros. Cuando llevamos a nuestra mascota al veterinario, uno de los exámenes habituales se efectúa sobre su piel.
Cuando el veterinario cepilla a contrapelo el pelaje de tu perro, no sólo está buscando parásitos tales como pulgas o ácaros, están mirando su piel. La piel o pelaje secos indican alguna enfermedad. La piel amarilla indica ictericia, y la piel azul indica problemas cardíacos. Los sarpullidos o erupciones cutáneas pueden indicar la presencia de alergias.
Los perros sufren alergias ambientales y estacionales, y también alergias a los alimentos. Las alergias a los alimentos no siempre se pueden asociar con alimentos nuevos, sino que pueden también provenir de alimentos que hay consumido durante años y se han vuelto sensibles por un número de razones. Las llamadas "hot-spot" pueden ser el resultado de que el perro ya no puede digerir cierto alimento. Tu veterinario podrá recomendarte formas de evaluar la dieta de tu perro y recomendarte un tratamiento.
Muchos perros, como los spaniels, tienen alergias que se manifiestan no sólo con estornudos y ojos llorosos, sino también con sarpullidos.
Las alergias a las pulgas y a los medicamentos también pueden ser causantes de erupciones cutáneas. Hay veterinarios que hoy día se están especializando en alergias y dermatología animal. Si tu veterinario lo considera, podría ser necesario un ínter consulta para un diagnóstico y tratamiento.
También existen problemas de piel genéticos y de origen glandular. Hay varias enfermedades asociadas con problemas ováricos y testiculares. El diagnóstico y tratamiento lo realizará tu veterinario. Los perros son también susceptibles a varios tipos de hongos de piel. Son altamente contagiosos a los humanos y a otros animales. La sarna es otra enfermedad que también es contagiosa. Es fundamental realizar un diagnóstico y tratamiento rápidos.
A demás de los problemas de piel ya mencionados, existen también enfermedades como la seborrea, tumores, melanomas, úlceras infectadas, ácaros, y otros, que deben ser diagnosticados por el veterinario.
El propósito de este artículo es que los dueños se den cuenta que el cuidado y control regular de la piel de los perros es esencial. Antes de adquirir un perro, consulta con el criador y con un veterinario. Conoce las enfermedades específicas de la raza que deseas. Conoce el cuerpo de tu perro como el tuyo propio. Busca problemas de piel durante su cepillado regular.
Si encuentras un área que te preocupa, consulta inmediatamente con tu veterinario. No realices un diagnóstico y un tratamiento casero. Sólo un veterinario está en condiciones de hacer un diagnóstico y de recomendar tratamientos. Dejar pasar el tiempo puede causar un retraso en la recuperación, como así también la diseminación de la enfermedad y la molestia prolongada e innecesaria para tu amada mascota
El sistema ocular también suelen dar problemas, sobre todo son propensos a la conjuntivitis típica y en algunas ocasiones inflamaciones del interior del lagrimal llamadas “ojo de cereza” que en la mayoría de los casos se debe de operar.
El peso corporal
El sobrepeso es otra serie de problemas salud en el bulldog inglés de mayor a menor trascendencia, pero en todos los casos, indeseables.
La obesidad tiene siempre su origen en la combinación de dos hechos innegables:
La híper- alimentación
La falta de ejercicio.
También hay algunos casos aislados en los que alteraciones hormonales, como las causadas por desarreglos tiroideos, pueden estar en el origen del problema.
De lo que no cabe duda alguna es de que el animal que está perfectamente alimentado y cuya nutrición es óptima nunca tendrá un peso por encima del recomendado según su edad, sexo y talla. Y si, además, recibe la adecuada disciplina en lo que se refiere a la justa practica de ejercicio, será un animal sano y en plenitud de condiciones.
El adelgazamiento súbito debe ser siempre considerado como un problema al que hay que prestar la debida atención, al igual que se debe hacer ante un aumento significativo del peso sin causa aparente y justificada, pues las variaciones en el peso corporal pueden ser indicios de distintas alteraciones o problemas de salud.
Así las cosas, antes de pasar a mayores, lo primero que hemos de descartar que tanto el déficit como el exceso de peso se deban a una dieta inadecuada; si esta no fuera la causa, entonces habremos de pensar si estamos infra alimentando o sobrealimentando a nuestra mascota , y por ultimo pero no menos importante, si en algo han variado sus condiciones de vida habituales, es decir, si ha habido alguna alteración en las condiciones de su hábitat, si pudiera estar sometido a alguna forma de estrés del medioambiental (un macho, por ejemplo, puede adelgazar por el mero hecho de intuir el celo de una hembra incluso a enormes distancias) o de otro tipo (la ausencia prolongada de uno o más miembros de la unidad familiar o el fallecimiento de alguno de ellos, e incluso el nacimiento de un nuevo bebé, que desvía hacia el recién llegado toda la atención y el mimo que recibía el perro).
Otra causa habitual de pérdida de peso puede ser el cambio de casa, dejar el perro de pensión en una estancia canina, la realización de obras en el domicilio, etc.
Médicamente el adelgazamiento súbito también puede deberse a problemas de parásitos internos, que hay que descartar, mediante la práctica de un examen de heces.
Pero si todo lo anterior queda descartado, entonces hay que sospechar que las causas pueden ser otras y bien distintas, con un origen fisi0ologico y/o patológico. En este caso se hace indispensable la consulta con el veterinario.
No olvidemos que un perro sano muestra siempre una óptima condición física, independientemente de la edad.
Finalmente, hemos de tener en cuenta que, dependiendo de las líneas de sangre, habrá ejemplares que, a pesar de estar en óptimas condiciones de salud, serán "delgaditos" por naturaleza, y otros, también en excelentes condiciones, algo mas "rechonchitos", lo que sin duda está relacionado con la genética, con la cantidad y volumen de su "hueso", y con la cantidad y calidad de su grasa corporal, al igual que ocurre con los humanos.
Hay que procurar que haga ejercicio pero a su ritmo, nunca le forzaremos y menos lo sobreexcitaremos ya que le produciría trastornos respiratorios.
Esta raza necesita un cuidado mínimo, cubriendo sus necesidades y asegurándonos de tomar las medidas higiénicas antes mencionadas es la mejor raza canina del mundo y tiene una recompensa infinita de complicidad familiar, lealtad y amor desinteresado.
Solo requiere un poquito más de atención quizás que otra raza cualquiera, pero merece la pena conocerlos y más la convivencia con ellos para darte cuenta que es más que un perro….
“Tiene belleza sin vanidad, fuerza sin altanería, coraje sin ferocidad y todas las virtudes de un hombre sin sus vicios”.
bulldesign.es





